部分床義歯+金属床
入れ歯部分床義歯+金属床
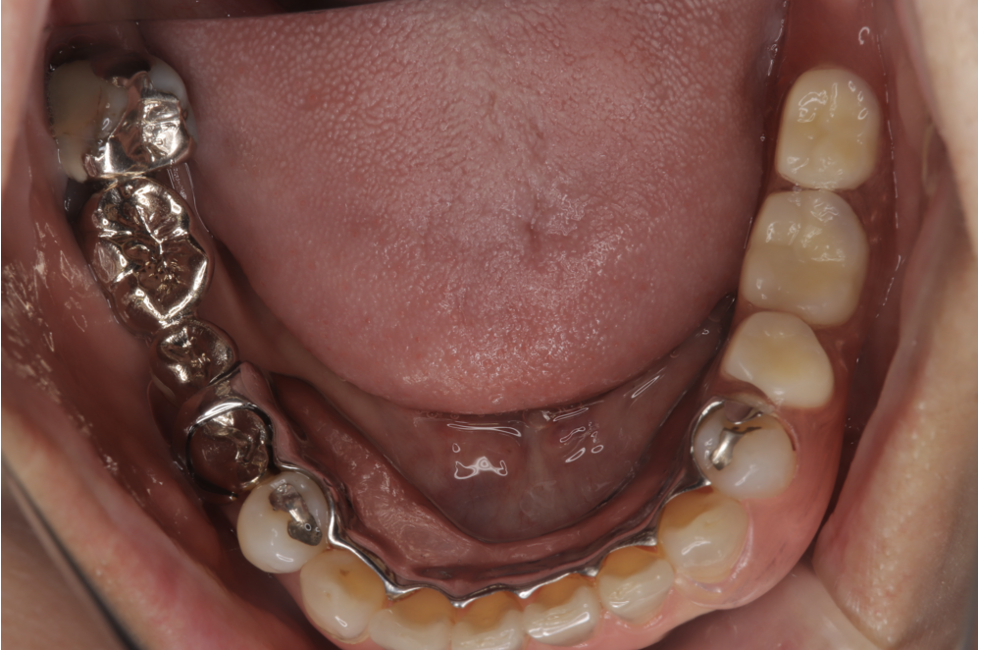
部分床義歯 金属床 3 NO.83

Before

After
| 治療方法 | 部分床義歯 金属床 プラスチック製の入れ歯と金属製の入れ歯の違いは金属製の利点に焦点を合わせて説明すると、厚さの違いにより、薄いので違和感も少なく快適に熱の伝わりやすさにより、味覚は変わり、食事が美味しく楽しめます。丈夫でたわみにくいので、しっかりと噛めるそのことにより、残っている自分の歯の揺さぶられる力が軽減できるので歯に優しいです。ある程度自由に設計が可能なので、部分入れ歯を固定するためのバネを目立たなく仕上げることなどが可能になってきます。 |
|---|---|
| 治療のデメリット | 素材に金属を使用すため、金属アレルギーをお持ちの方は注意が必要です。しかし、金属アレルギーの恐れが少ない金属素材(チタンなど)を使用することも可能です。保険の入れ歯では解消できない違和感や不便さを解消できるメリットがありますが、入れ歯の限界もあります。残っている歯を少しでも守る為にも、清潔にしたり、日々のメンテナンスを忘れないでください。自費診療の一環となるために、保険診療と比べると高額となってきます。また使用する金属によっても料金に変動がございます。 |
| 費用 | ¥139,000〜 |
| 通院回数 | 1ヶ月〜3ヶ月 |
| 備考 | 院長より 下の一番奥の部分が、3本連続欠損の状況になっています。入れ歯がシーソーの動きをしてしまい痛みも出易い状況です。金属床で剛性を高くして、少しでも適合を良くし、残っている歯の負担をラグビーでスクラムを組むように固定して減らし、入れ歯のたわみを減らし、安定を良くしています。そして、残っている歯をガチッとした構造で守っています。 |
入れ歯部分床義歯+金属床
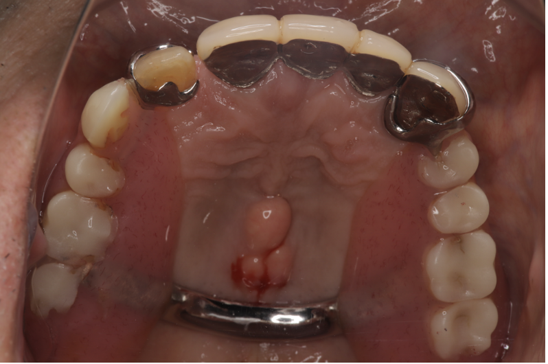
部分床義歯 金属床 2 NO.64

Before

After
| 治療方法 | 部分床義歯 金属床 プラスチック製の入れ歯と金属製の入れ歯の違いは、金属製の利点に焦点を合わせて説明すると、厚さの違いにより、薄いので違和感も少なく快適に熱の伝わりやすさにより、味覚は変わり、食事が美味しく楽しめます。丈夫でたわみにくいので、しっかりと噛める。そのことにより、残っている自分の歯の揺さぶられる力が軽減できるので歯に優しいです。ある程度自由に設計が可能なので、部分入れ歯を固定するためのバネを目立たなく仕上げることなどが可能になってきます。 |
|---|---|
| 治療のデメリット | 素材に金属を使用すため、金属アレルギーをお持ちの方は注意が必要です。しかし、金属アレルギーの恐れが少ない金属素材(チタンなど)を使用することも可能です。保険の入れ歯では解消できない違和感や不便さを解消できるメリットがありますが、入れ歯の限界もあります。残っている歯を少しでも守る為にも、清潔にしたり、日々のメンテナンスを忘れないでください。自費診療の一環となるために、保険診療と比べると高額となってきます。また使用する金属によっても料金に変動がございます。 |
| 費用 | ¥198,000〜 |
| 通院回数 | 1ヶ月〜3ヶ月 |
| 備考 | 院長より 上の歯が残り5本しか残っていない状況になっています。入れ歯がシーソーの動きをしてしまい痛みも出易い状況です。 金属床で剛性を高くして、少しでも適合を良くし、残っている歯の負担をラグビーでスクラムを組むように固定して減らし、入れ歯のたわみを減らし、安定を良くして、残っている歯をガチッと固定して守っています。 |
入れ歯部分床義歯+金属床
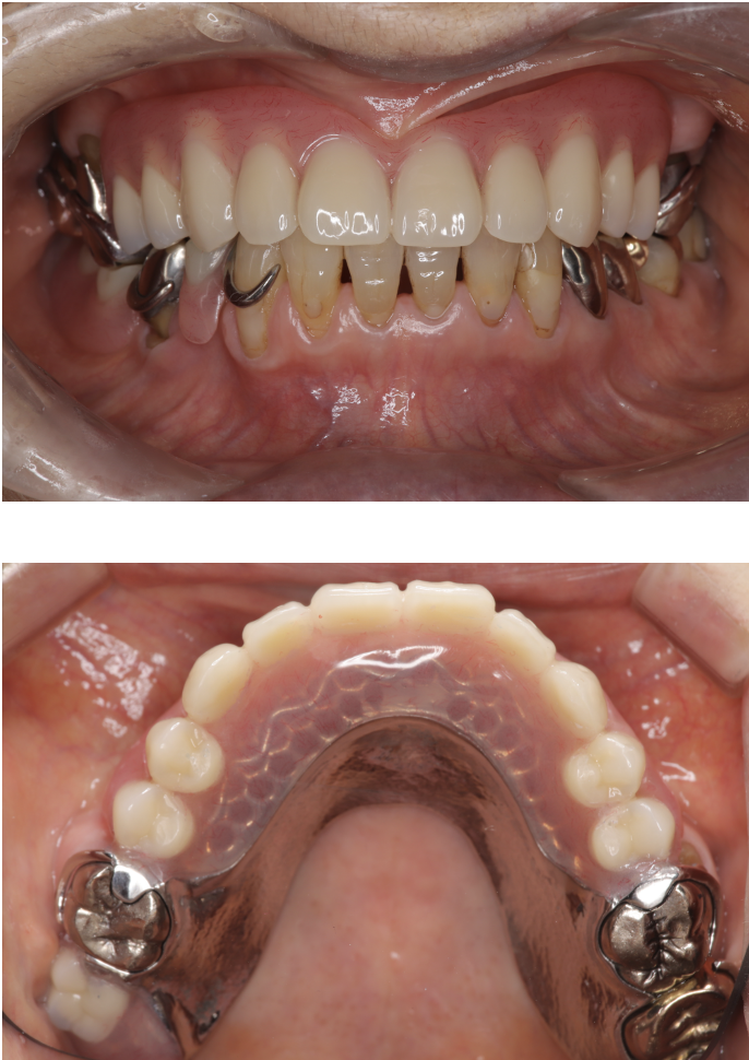
部分床義歯 金属床 1 NO.14

Before

After
| 治療方法 | 部分床義歯 金属床 プラスチック製の入れ歯と金属製の入れ歯の違いは金属製の利点に焦点を合わせて説明すると、厚さの違いにより、薄いので違和感も少なく快適に熱の伝わりやすさにより、味覚は変わり、食事が美味しく楽しめます。丈夫でたわみにくいので、しっかりと噛める。そのことにより、残っている自分の歯の揺さぶられる力が軽減できるので歯に優しいです。ある程度自由に設計が可能なので、部分入れ歯を固定するためのバネを目立たなく仕上げることなどが可能になってきます。 |
|---|---|
| 治療のデメリット | 素材に金属を使用すため、金属アレルギーをお持ちの方は注意が必要です。しかし、金属アレルギーの恐れが少ない金属素材(チタンなど)を使用することも可能です。保険の入れ歯では解消できない違和感や不便さを解消できるメリットがありますが、入れ歯の限界もあります。残っている歯を少しでも守る為にも、清潔にしたり、日々のメンテナンスを忘れないでください。自費診療の一環となるために、保険診療と比べると高額となってきます。また使用する金属によっても料金に変動がございます。 |
| 費用 | ¥198,000〜 |
| 通院回数 | 1ヶ月〜3ヶ月 |
| 備考 | 院長より 上の歯が残り3本しか残っていない状況になっています。入れ歯がシーソーの動きをしてしまい、痛みも出易い状況です。金属床で剛性を高くして、少しでも適合を良くし、残っている歯の負担を減らし、入れ歯のたわみを減らし、安定を良くしています。 |
