ジルコニアIn
ジルコニアIn詰め物
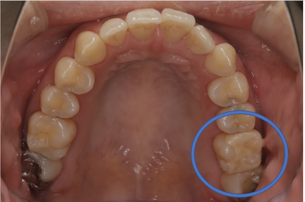
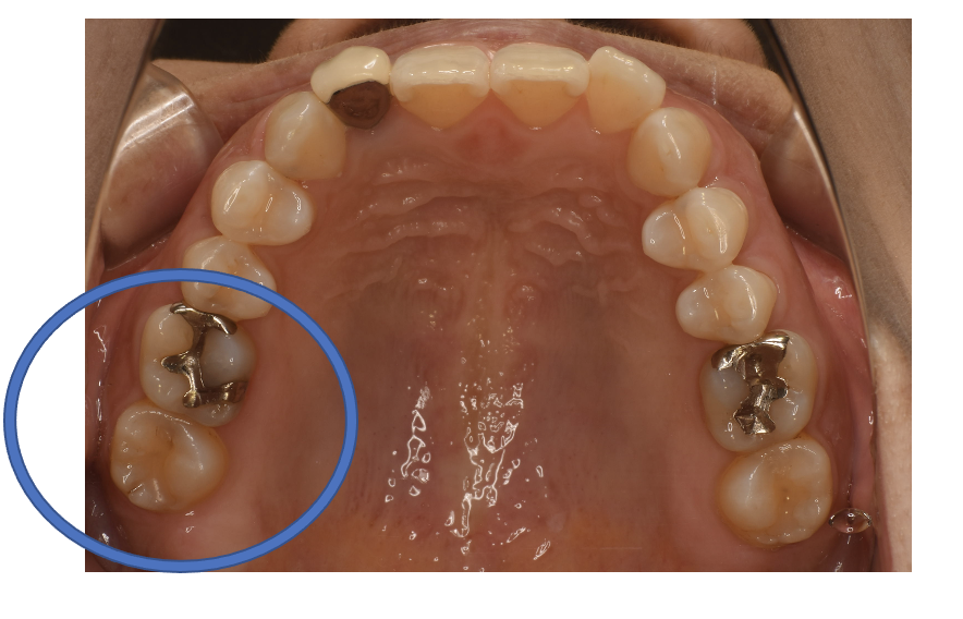
フルジルコニアIn 3 No.81

Before

After
| 治療方法 | フルジルコニアIn 虫歯などで失った歯質を天然歯と同じ色・質感のセラミックの一種であるジルコニア(人工ダイヤモンド)で補う治療法。 |
|---|---|
| 治療のデメリット | 変色がなく耐久性の高い治療ですが、歯周病や二次虫歯を予防するためには歯科医院での定期的なメインテナンスが大切です。 |
| 費用 | ¥69,000 |
| 通院回数 | 1ヶ月〜3ヶ月 |
| 備考 | 院長より 奥歯の、銀歯の中にむし歯が進行していたケースです。詰め物を選ぶ時には、見た目の自然さよりも、噛み合わせが強いことへの対応を 重視して、セラミックではなく、強度が強く人工ダイヤモンドとしても使用されるジルコニアインレーを選択することもあります。 |
ジルコニアIn詰め物
フルジルコニアIn 2 No.34

Before

After
| 治療方法 | フルジルコニアIn 虫歯などで失った歯質を天然歯と同じ色・質感のセラミックの一種であるジルコニア(人工ダイヤモンド)で補う治療法。 |
|---|---|
| 治療のデメリット | 変色がなく耐久性の高い治療ですが、歯周病や二次虫歯を予防するためには歯科医院での定期的なメインテナンスが大切です。 |
| 費用 | ¥69,000 |
| 通院回数 | 1ヶ月〜3ヶ月 |
| 備考 | 院長より 奥歯の、歯と歯の間に虫歯ができているケースでした。詰め物を選ぶ時には、見た目の自然さよりも、噛み合わせが強いことへの対応を重視して、セラミックではなく、強度が強く人工ダイヤモンドとしても使用されるジルコニアインレーを選択することもあります。 |
ジルコニアIn詰め物
フルジルコニアIn 1 +フルジルコニアCr NO.25

Before

After
| 治療方法 | フルジルコニアCr、In 虫歯などで失った歯質を天然歯と同じ色・質感のセラミックの一種であるジルコニア(人工ダイヤモンド)で補う治療法。 変色がなく耐久性の高い治療ですが、歯周病や二次虫歯を予防するためには歯科医院での定期的なメインテナンスが大切です。 |
|---|---|
| 治療のデメリット | 変色がなく耐久性の高い治療ですが、歯周病や二次虫歯を予防するためには歯科医院での定期的なメインテナンスが大切です。 |
| 費用 | ¥89,000、¥69,000 |
| 通院回数 | 1ヶ月〜6ヶ月 |
| 備考 | 院長より 銀歯と、プラスチックで修復してあった2本の歯の再発虫歯の症例です。銀歯との境目から虫歯が進行していた手前の歯は、内部で虫歯が進行していたのと噛み合わせが強く、ヒビが入っていたので、コーティングして、ジルコニアCrで被せて守っています。 一番奥の歯は、内部で虫歯が進行していましたが、部分的な詰め物で対応できる範囲でした。しかし、噛み合わせが強いので、ジルコニアInで修復しています。 |
