インプラント
インプラント
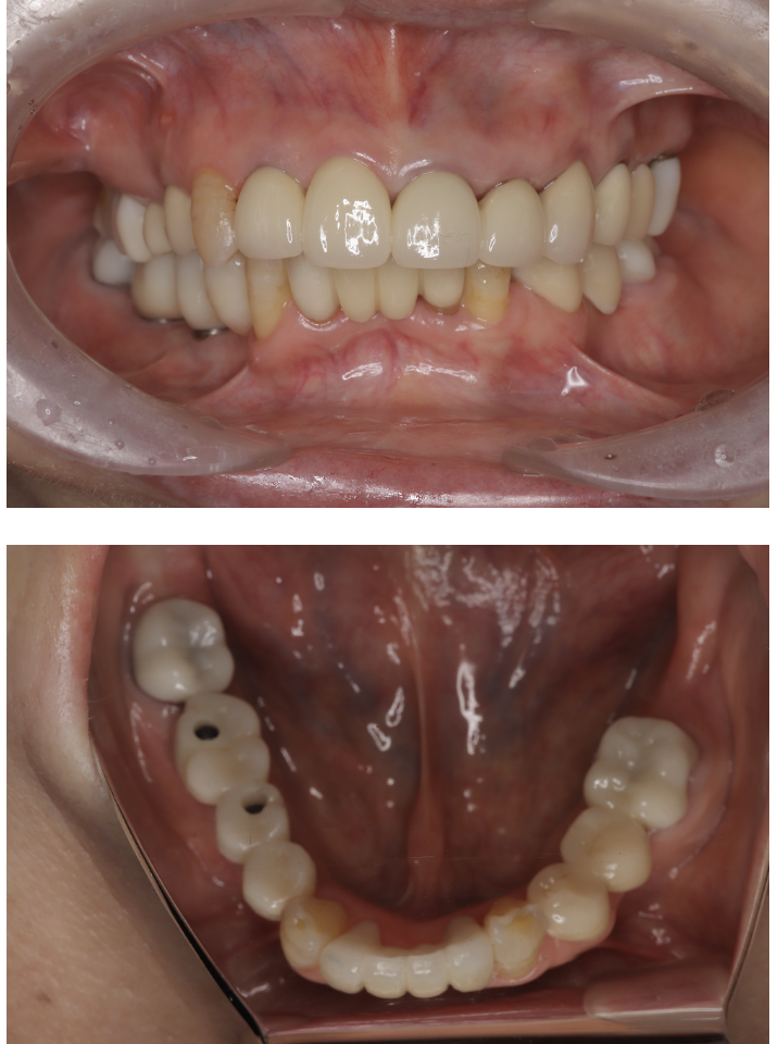
インプラント 16 No.98

Before

After
| 治療方法 | インプラント 歯を失った顎の骨に、体に馴染みやすい材料で作られた人工歯根を埋め込みます。それを土台にセラミックなどで作った人工歯を取り付ける治療法です。 |
|---|---|
| 治療のデメリット | ・神経や血管を傷つける可能性があるので、当院ではCT撮影を行って診断を行い、さらにコンピューターシュミレーションを行い神経や血管の立体的な位置を把握してインプラントを安全な位置に埋入します。 ・上顎は上顎洞という空洞があり、そこを削ってしまうと炎症が起きてしまうため、CT撮影でしっかり診断をしてから手術を行います。 |
| 費用 | ¥460,000〜570,000×2本=¥920,000〜1,140,000、¥89,000 |
| 通院回数 | 2ヶ月〜8ヶ月 |
| 備考 | 院長より 残念ながら保存できなかった歯を抜歯して、インプラントを埋入しました。3本失ってしまったのですが、2本埋入れてブリッジタイプで対応しています。インプラント(人工歯根)と被せ(フルジルコニアCr)はネジで連結してあり必要に応じて外してチェックできるようになっています。写真ではメンテナンス時でネジ穴が見える状態になっています。通常はネジ穴はプラスティックで蓋をして見えない状態になっています。 |
インプラント
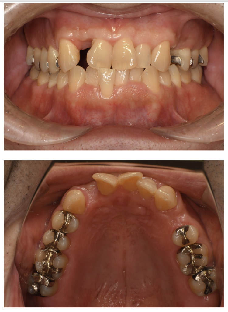
インプラント 14 N0.89

Before

After
| 治療方法 | インプラント 歯を失った顎の骨に、体に馴染みやすい材料で作られた人工歯根を埋め込みます。それを土台にセラミックなどで作った人工歯を取り付ける治療法です。 |
|---|---|
| 治療のデメリット | ・神経や血管を傷つけるかぬせいがあるので、当院ではCT撮影を行って診断を行い、さらにコンピューターシュミレーションを行い神経や血管の立体的な位置を把握してインプランとを安全な位置に埋入します。 ・上顎は上顎洞という空洞があり、そこを削ってしまうと炎症が起きてしまうため、CT撮影でしっかり診断をしてから手術を行います。 |
| 費用 | ¥660,000〜770,000(前歯)、¥450,000〜560,000 |
| 通院回数 | 2ヶ月〜8ヶ月 |
| 備考 | 院長より 残すことが難しい状況になった歯を抜いて、インプラントを埋入しました。パンが食べられるようになった、お口の中に頬張って食べられるようになったと喜んでいらっしゃいます。 インプラント(人工歯根)と被せ(フルジルコニアCr)はネジで連結してあり必要に応じて外してチェックできるようになっています。 写真ではメンテナンス時でネジ穴が見える状態になっています。通常はネジ穴はプラスティックで蓋をして見えない状態になっています。 |
インプラント
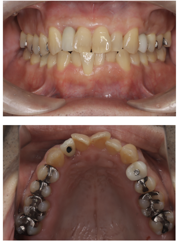
インプラント 1 No.1

Before

After
| 治療方法 | インプラント 歯を失った顎の骨に、体に馴染み易いチタン材料で作られた人工歯根を埋め込みます。それを土台にセラミックで作った人工歯を取り付ける治療法です。 |
|---|---|
| 治療のデメリット | ・神経や血管を傷つける可能性があるので、当院ではCT撮影を行って診断をし、さらにコンピューターシュミレーションを行い神経や血管の立体的な位置を把握してインプラントを安全な位置に埋入します。 ・上顎は上顎洞という空洞があり、そこを削ってしますと炎症が起きてしまうため、CT撮影でしっかり診断をしてから、さらにコンピューターシュミレーションを行い、手術を行います。 |
| 費用 | ¥460,000円×2本=¥920,000 |
| 通院回数 | 3ヶ月〜9ヶ月 |
| 備考 | 院長より 残すことが難しい状況になった歯を抜いて、インプラントを2本埋入しました。 骨もしっかりとあり良い状況です。まだまだこれから長い間使って頂けると思います。 |
インプラント
インプラント 13 No.85

Before

After
| 治療方法 | インプラント 歯を失った顎の骨に、体に馴染みやすい材料で作られた人工歯根を埋め込みます。それを土台にセラミックなどで作った人工歯を取り付ける治療法です。 |
|---|---|
| 治療のデメリット | ・神経や血管を傷つける可能性があるので、当院ではCT撮影を行って診断を行い、さらにコンピューターシュミレーションを行い神経や血管の立体的な位置を把握してインプランとを安全な位置に埋入します。 ・上顎は上顎洞という空洞があり、そこを削ってしまうと炎症が起きてしまうため、CT撮影でしっかり診断をしてから手術を行います。 |
| 費用 | ¥460,000〜570,000 |
| 通院回数 | 2ヶ月〜8ヶ月 |
| 備考 | 院長より インプラントは自分の歯のように噛むことが出来ます奥歯が一本なくなっただけで噛みにくくなる方もいらっしゃいます。インプラント埋入オペ後、粘膜の治癒を待つときに、このようなキャップを使用することもあります。 |
インプラント
インプラント 3 NO.5

Before

After
| 治療方法 | インプラント 歯を失った顎の骨に、体に馴染みやすい材料で作られた人工歯根を埋め込みます。それを土台にセラミックなどで作った人工歯を取り付ける治療法です。 |
|---|---|
| 治療のデメリット | ・神経や血管を傷つけるかぬせいがあるので、当院ではCT撮影を行って診断を 行い、さらにコンピューターシュミレーションを行い神経や血管の立体的な位置を 把握してインプランとを安全な位置に埋入します。 ・上顎は上顎洞という空洞があり、そこを削ってしまうと炎症が起きてしまう ため、CT撮影でしっかり診断をしてから手術を行います。 |
| 費用 | ¥460,000〜570,000 |
| 通院回数 | 2ヶ月〜8ヶ月 |
| 備考 | 院長より インプラントは自分の歯のように噛むことが出来ます。 奥歯が一本なくなっただけで噛みにくくなる方もいらっしゃいます。 |
