ウォーキングブリーチ
ウォーキングブリーチ
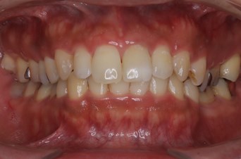
ウォーキングブリーチ 1 No.9

Before

After
| 治療方法 | ウオーキングブリーチ (失活歯の内部からのホワイトニング) 過去に歯の神経を取ったり、歯をぶつけたりすると、歯の色が変色して黒くなることがあります。ウオーキングブリーチ法は、黒く変色した歯の内側に白くする薬剤を入れ漂白して白くするホワイトニング法です。 |
|---|---|
| 治療のデメリット | ウオーキングブリーチ法が適用でないケースがあります。 レントゲンを撮り、歯の根や内部の状態を確認します。 (根の状態によっては、根の再治療が必要な場合があります。) 大きな詰め物が入っているケースは不向きです。 状況によっては、根が外部吸収を起こす可能性があります。 |
| 費用 | ¥40,000〜55,000 |
| 通院回数 | 3回〜6回 |
| 備考 | 院長より 結婚式前に歯を白くしたとのご要望でした ここまで白くなると、とても印象が変わります 歯の状態によっては出来ないことがあるので、まずはお気軽にご相談してください |
