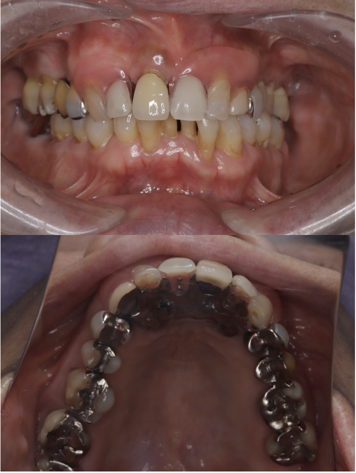
入れ歯
ノンクラスプ+金属床入れ歯
ノンクラスプ+金属床 3 No.60

Before

After
| 治療方法 | ノンクラスプ+金属床 入れ歯に金属のバネがある・ないの違いだけで口元の見た目は大きく変わります。金属のバネがない入れ歯「ノンクラスプデンチャー」は快適で自然な美しさのある入れ歯です。 金属床義歯は土台(床)の部分が金属で薄く作られる入れ歯です。保険の入れ歯に比べて厚みが出ないので、食べ物の温度を感じられ、食事を美味しく取ることができます。素材はコバルトクロムやチタンが使われます。 |
|---|---|
| 治療のデメリット | 金属で補強して強度は増していますが、噛み合わせによっては壊れることがあります。ノンクラスプ部分が樹脂製の為に、柔らかさがあり、経年的に入れ歯の維持する力が緩くなります。壊れた時の修理、調整が難しくなります。保険の入れ歯よりコストがかかります。 |
| 費用 | ¥198,000 |
| 通院回数 | 1ヶ月〜3ヶ月 |
| 備考 | 院長より 保険の入れ歯を使用されていたのですが、見た目が気になるのと、違和感が大きいということを悩まれていました。 ノンクラスプ入れ歯を使用することで、見た目が自然になり、金属床にすることで違和感が軽減されます |
ノンクラスプ+金属床入れ歯
ノンクラスプ+金属床 2 +ノンクラスプ No.15

Before

After
| 治療方法 | ノンクラスプ、ノンクラスプ+金属床 入れ歯に金属のバネがある・ないの違いだけで口元の見た目は大きく変わります。金属のバネがない入れ歯「ノンクラスプデンチャー」は快適で自然な美しさのある入れ歯です。 金属床義歯は土台(床)の部分が金属で薄く作られる入れ歯です。保険の入れ歯に比べて厚みが出ないので、食べ物の温度を感じられ、食事を美味しく取ることができます。素材はコバルトクロムやチタンが使われます。 |
|---|---|
| 治療のデメリット | 金属で補強して強度は増していますが、噛み合わせによっては壊れることがあります。ノンクラスプ部分が樹脂製の為に、柔らかさがあり、経年的に入れ歯の維持する力が緩くなります。壊れた時の修理、調整が難しくなります。保険の入れ歯よりコストがかかります。 |
| 費用 | ¥99,000、¥269,000 |
| 通院回数 | 1ヶ月〜3ヶ月 |
| 備考 | 院長より 上下に入れ歯を作りました。上下とも見た目を重視してノンクラスプを選択されましたが、上は欠損が左右に渡り、大きくなり違和感が大きくなるので金属床を使用して違和感を減らしました。 |
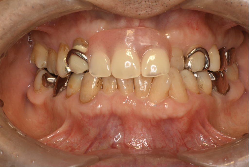
ノンクラスプ+金属床入れ歯
ノンクラスプ+金属床 1 No.13

Before

After
| 治療方法 | ノンクラスプ+金属床 入れ歯に金属のバネがある・ないの違いだけで口元の見た目は大きく変わります。金属のバネがない入れ歯「ノンクラスプデンチャー」は快適で自然な美しさのある入れ歯です。 金属床義歯は土台(床)の部分が金属で薄く作られる入れ歯です。保険の入れ歯に比べて厚みが出ないので、食べ物の温度を感じられ、食事を美味しく取ることができます。素材はコバルトクロムやチタンが使われます。 |
|---|---|
| 治療のデメリット | 金属で補強して強度は増していますが、噛み合わせによっては壊れることがあります。ノンクラスプ部分が樹脂製の為に、柔らかさがあり、経年的に入れ歯の維持する力が緩くなります。壊れた時の修理、調整が難しくなります。保険の入れ歯よりコストがかかります。 |
| 費用 | ¥198,000 |
| 通院回数 | 1ヶ月〜3ヶ月 |
| 備考 | 院長より 保険の入れ歯を使用されていたのですが、見た目が気になるのと、違和感が大きいということを悩まれていました。ノンクラスプ入れ歯を使用することで、見た目が自然になり、金属床にすることで違和感が軽減されます。 |
入れ歯部分床義歯+金属床
部分床義歯 金属床 3 NO.83

Before

After
| 治療方法 | 部分床義歯 金属床 プラスチック製の入れ歯と金属製の入れ歯の違いは金属製の利点に焦点を合わせて説明すると、厚さの違いにより、薄いので違和感も少なく快適に熱の伝わりやすさにより、味覚は変わり、食事が美味しく楽しめます。丈夫でたわみにくいので、しっかりと噛めるそのことにより、残っている自分の歯の揺さぶられる力が軽減できるので歯に優しいです。ある程度自由に設計が可能なので、部分入れ歯を固定するためのバネを目立たなく仕上げることなどが可能になってきます。 |
|---|---|
| 治療のデメリット | 素材に金属を使用すため、金属アレルギーをお持ちの方は注意が必要です。しかし、金属アレルギーの恐れが少ない金属素材(チタンなど)を使用することも可能です。保険の入れ歯では解消できない違和感や不便さを解消できるメリットがありますが、入れ歯の限界もあります。残っている歯を少しでも守る為にも、清潔にしたり、日々のメンテナンスを忘れないでください。自費診療の一環となるために、保険診療と比べると高額となってきます。また使用する金属によっても料金に変動がございます。 |
| 費用 | ¥139,000〜 |
| 通院回数 | 1ヶ月〜3ヶ月 |
| 備考 | 院長より 下の一番奥の部分が、3本連続欠損の状況になっています。入れ歯がシーソーの動きをしてしまい痛みも出易い状況です。金属床で剛性を高くして、少しでも適合を良くし、残っている歯の負担をラグビーでスクラムを組むように固定して減らし、入れ歯のたわみを減らし、安定を良くしています。そして、残っている歯をガチッとした構造で守っています。 |
入れ歯部分床義歯+金属床
部分床義歯 金属床 2 NO.64

Before

After
| 治療方法 | 部分床義歯 金属床 プラスチック製の入れ歯と金属製の入れ歯の違いは、金属製の利点に焦点を合わせて説明すると、厚さの違いにより、薄いので違和感も少なく快適に熱の伝わりやすさにより、味覚は変わり、食事が美味しく楽しめます。丈夫でたわみにくいので、しっかりと噛める。そのことにより、残っている自分の歯の揺さぶられる力が軽減できるので歯に優しいです。ある程度自由に設計が可能なので、部分入れ歯を固定するためのバネを目立たなく仕上げることなどが可能になってきます。 |
|---|---|
| 治療のデメリット | 素材に金属を使用すため、金属アレルギーをお持ちの方は注意が必要です。しかし、金属アレルギーの恐れが少ない金属素材(チタンなど)を使用することも可能です。保険の入れ歯では解消できない違和感や不便さを解消できるメリットがありますが、入れ歯の限界もあります。残っている歯を少しでも守る為にも、清潔にしたり、日々のメンテナンスを忘れないでください。自費診療の一環となるために、保険診療と比べると高額となってきます。また使用する金属によっても料金に変動がございます。 |
| 費用 | ¥198,000〜 |
| 通院回数 | 1ヶ月〜3ヶ月 |
| 備考 | 院長より 上の歯が残り5本しか残っていない状況になっています。入れ歯がシーソーの動きをしてしまい痛みも出易い状況です。 金属床で剛性を高くして、少しでも適合を良くし、残っている歯の負担をラグビーでスクラムを組むように固定して減らし、入れ歯のたわみを減らし、安定を良くして、残っている歯をガチッと固定して守っています。 |
