入れ歯
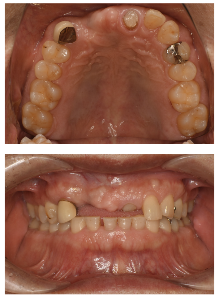
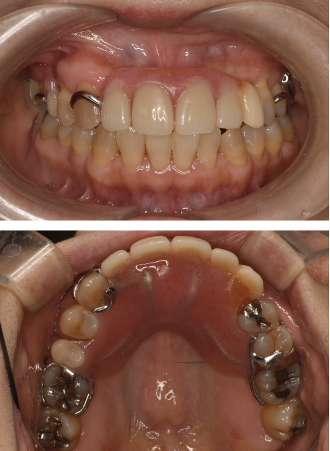
ノンクラスプ+金属床入れ歯
ノンクラスプ+金属床 6 No.91

Before

After
| 治療方法 | 入れ歯に金属のバネがある・ないの違いだけで口元の見た目は大きく変わります。金属のバネがない入れ歯「ノンクラスプデンチャー」は快適で自然な美しさのある入れ歯です。 金属床義歯は土台(床)の部分が金属で薄く作られる入れ歯です。保険の入れ歯に比べて厚みが出ないので、食べ物の温度を感じられ、食事を美味しく取ることができます。素材はコバルトクロムやチタン、金が使われます。 |
|---|---|
| 治療のデメリット | 金属で補強して強度は増していますが、噛み合わせによっては壊れることがあります。ノンクラスプ部分が樹脂製の為に、柔らかさがあり、経年的に入れ歯の維持する力が緩くなります。 壊れた時の修理、調整が難しくなります。保険の入れ歯よりコストがかかります。 |
| 費用 | ¥198,000 |
| 通院回数 | 1ヶ月〜3ヶ月 |
| 備考 | 院長より 保険の入れ歯を使用されていたのですが、見た目が気になるのと、違和感が大きいということを悩まれていました。 ノンクラスプ入れ歯を使用することで、見た目が自然になり金属床にすることで違和感が軽減されます |
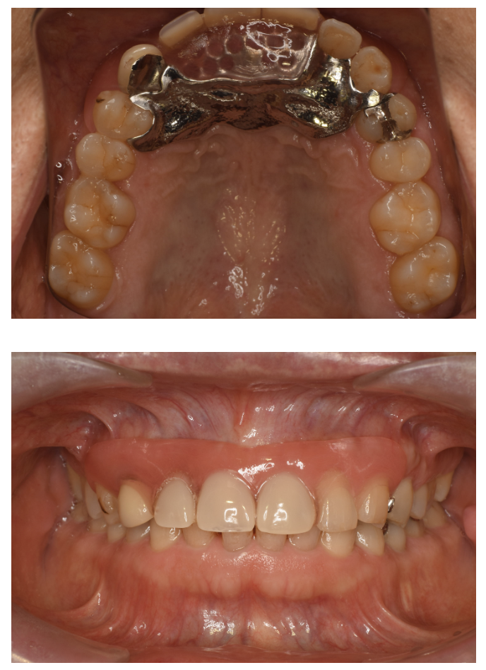
入れ歯全部床義歯+マグネット
全部金属床 + マグネット 3 No.92

Before

After
| 治療方法 | 金属床、マグネット プラスチック製の入れ歯と比べて、金属製の入れ歯は厚さが薄く違和感が少ない、温度を良く伝えるので美味しさが増す、たわみにくいので しっかりと噛める、そして残っている自分の歯に優しい等の違いがあります。 歯の根っこと、入れ歯に磁石を埋め込むことにより、入れ歯がずれたり、外れたりしにくくなります。そして、側方から大きな力がかかった場合は、外れて力を逃してくれるので、歯の根っこにかかる負担を軽減してくれます |
|---|---|
| 治療のデメリット | 金属床は、プラスチックの入れ歯に比べたら、違和感が少ない、温度をよく伝える、しっかりと噛める、残っている自分の歯に優しい等の違いがありますが、やはり入れ歯の限界があり、インプラント、自分の歯と比較すると、気になる場合もあります。 マグネットは、残っている歯の根っこの状態により適用できないケースもあります。マグネットを、基本的にMRI撮影で外す必要がないと考えられていますが、撮影時に指摘を受ける可能性があります。 |
| 費用 | ¥395,000〜990,000 、¥45,000 |
| 通院回数 | 1.5ヶ月から3ヶ月 |
| 備考 | 院長より 上の入れ歯は、落ちてきてしまったり、噛むとかたつくことがありますが、入れ歯を磁石で付けることで、噛んでも安定した入れ歯になります。そして、金属の入れ歯を使用することにより、薄くなり、違和感が軽減され、快適と喜ばれています。 |
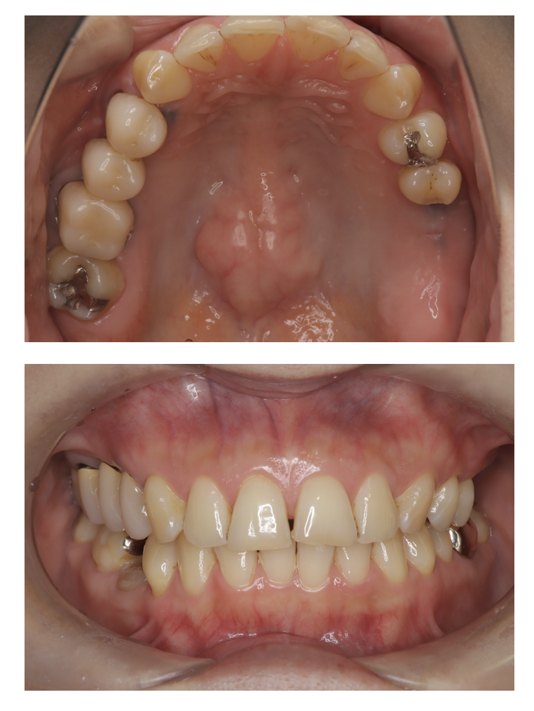
全部床義歯+マグネット
全部金属床 + マグネット 2 No.86

Before

After
| 治療方法 | 金属床、マグネット プラスチック製の入れ歯と比べて、金属製の入れ歯は厚さが薄く違和感が少ない、温度を良く伝えるので美味しさが増す、たわみにくいのでしっかりと噛める、そして残っている自分の歯に優しい等の違いがあります。歯の根っこと、入れ歯に磁石を埋め込むことにより、入れ歯がずれたり、外れたりしにくくなります。そして、側方から大きな力がかかった場合は、外れて力を逃してくれるので、歯の根っこにかかる負担を軽減してくれます |
|---|---|
| 治療のデメリット | 金属床は、プラスチックの入れ歯に比べたら、違和感が少ない、温度をよく伝える、しっかりと噛める、残っている自分の歯に優しい等の違いがありますが、やはり入れ歯の限界があり、インプラント、自分の歯と比較すると、気になる場合もあります。マグネットは、残っている歯の根っこの状態により適用できないケースもあります。マグネットを、基本的にMRI撮影で外す必要がないと考えられていますが、 撮影時に指摘を受ける可能性があります。 |
| 費用 | ¥395,000〜990,000×2(上、下)=¥790,000〜1,980,000 、¥45,000×2本=¥90,000 |
| 通院回数 | 1.5ヶ月から3ヶ月 |
| 備考 | 院長より 下の入れ歯は、舌のせいで外れたり、噛むとかたつくことがありますが、入れ歯を磁石で付けることで、噛んでも安定した入れ歯になります。そして、金属の入れ歯を使用することにより、違和感が軽減され、快適と喜ばれています。 |
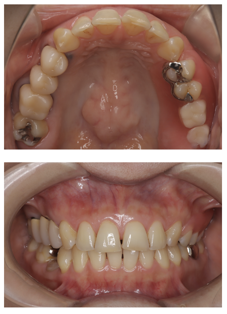
ノンクラスプ義歯入れ歯
ノンクラスプ義歯 1 No.88

Before

After
| 治療方法 | ノンクラスプ義歯 入れ歯に金属のバネがある・ないの違いだけで口元の見た目は大きく変わります。金属のバネがない入れ歯「ノンクラスプデンチャー」は快適で自然な美しさのある入れ歯です。 |
|---|---|
| 治療のデメリット | ノンクラスプ部分が樹脂製の為に、柔らかさがあり、経年的に入れ歯の維持する力が緩くなります。壊れた時の修理、調整が難しくなります。保険の入れ歯よりコストがかかります。 |
| 費用 | ¥90,000 |
| 通院回数 | 1ヶ月〜2ヶ月 |
| 備考 | 院長より 保険の入れ歯を使用されていたのですが、見た目が気になるのと違和感が大きいということを悩まれて、使用されていませんでした。ノンクラスプ入れ歯を使用することで、バネがなくなり見た目が自然になり違和感が軽減され、現在は毎日しっかりとご使用になられています。 |
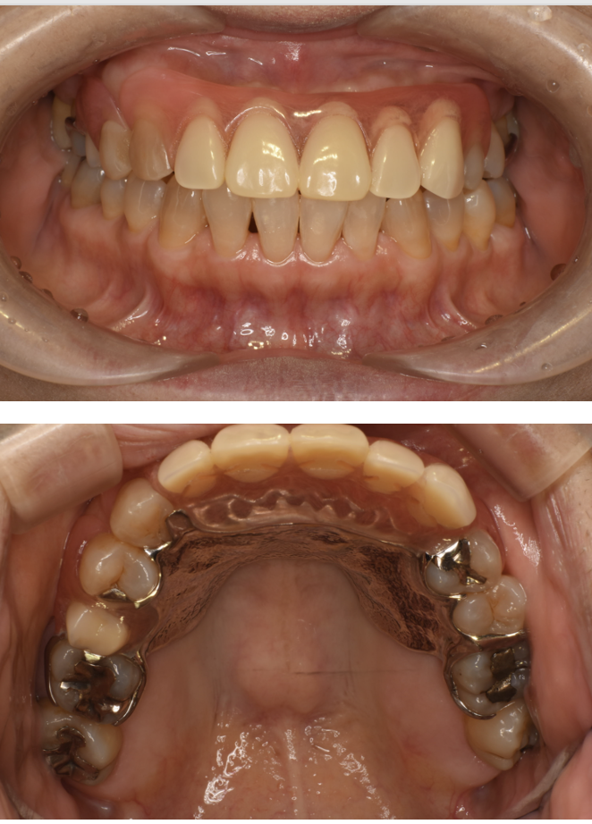
ノンクラスプ+金属床入れ歯
ノンクラスプ+金属床 4 No.68

Before

After
| 治療方法 | ノンクラスプ+金属床 入れ歯に金属のバネがある・ないの違いだけで口元の見た目は大きく変わります。金属のバネがない入れ歯「ノンクラスプデンチャー」は快適で自然な美しさのある入れ歯です。 金属床義歯は土台(床)の部分が金属で薄く作られる入れ歯です。保険の入れ歯に比べて厚みが出ないので、食べ物の温度を感じられ、食事を美味しく取ることができます。素材はコバルトクロムやチタンが使われます。 |
|---|---|
| 治療のデメリット | 金属で補強して強度は増していますが、噛み合わせによっては壊れることがあります。ノンクラスプ部分が樹脂製の為に、柔らかさがあり、経年的に入れ歯の維持する力が緩くなります。壊れた時の修理、調整が難しくなります。保険の入れ歯よりコストがかかります。 |
| 費用 | ¥269,000 |
| 通院回数 | 1ヶ月〜3ヶ月 |
| 備考 | 院長より 保険の入れ歯を使用されていたのですが、見た目が気になるのと、違和感が大きいということを悩まれていました。 ノンクラスプ入れ歯を使用することで、見た目が自然になり、金属床にすることで違和感が軽減されます。 |
