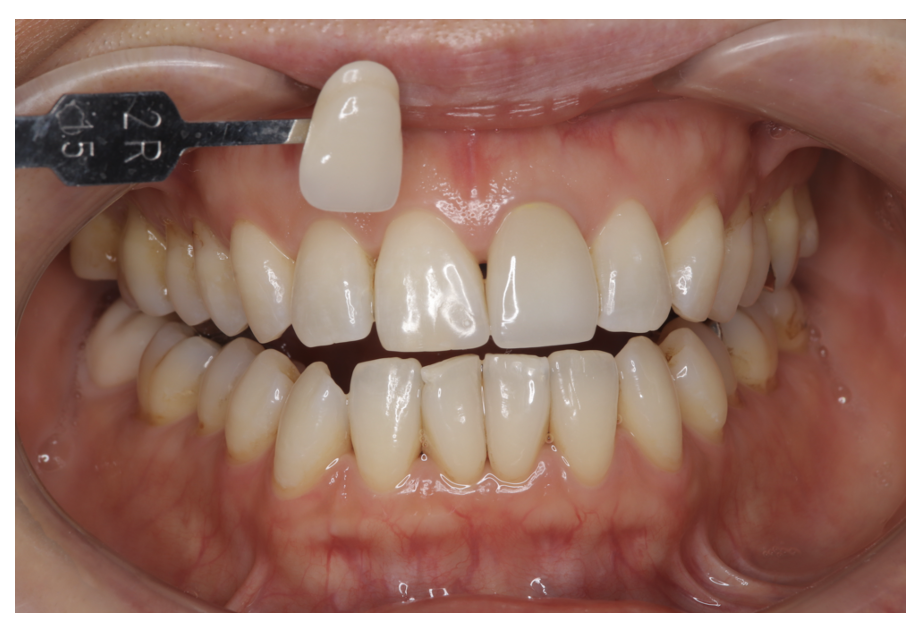
ホワイトニング
ホワイトニング
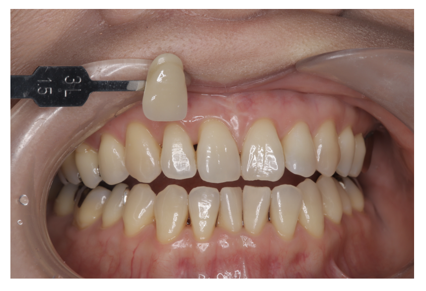
ホワイトニング 4 No.97

Before

After
| 治療方法 | ホワイトニングは、加齢や遺伝、食生活などによって変色した歯を 薬剤を用いて、着色を分解して除去する方法です。 ホワイトニングのメリットは 1、歯の明るさを上げて白くできる 2、歯を痛めません 3、1回で白くすることもできます(最短) 4、白さの調整が可能 5、セラミックに比べて安価 6、繰り返し施術が可能 7、歯を白くするとイメージが変わる 8、虫歯予防になります |
|---|---|
| 治療のデメリット | ホワイトニングのデメリットは 1、紙や陶器のような白さにはなりません 2、セラミックなどの人工の物は白くする事ができません 3、定期的なタッチアップが必要です。 4、ホワイトニングのお薬が歯にしみることがあります。 5、個人差があります。 6、全身状態によってはホワイトニング出来ない場合があります。 |
| 費用 | ¥16,500〜¥38,500 |
| 通院回数 | 1回〜3回 |
| 備考 | 院長より 歯が白くなると、お口全体も明るく見えるようになります。どのぐらい白くなるかも含めて、まずはお悩みをご相談下さい。 |
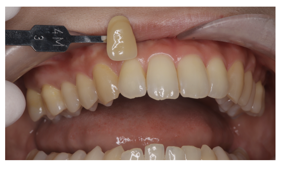
ホワイトニング
ホワイトニング 1 No.43

Before

After
| 治療方法 | ホワイトニング ホワイトニングは、加齢や遺伝、食生活などによって変色した歯を 薬剤を用いて、着色を分解して除去する方法です。 ホワイトニングのメリットは 1、歯の明るさを上げて白くできる 2、歯を痛めません 3、1回で白くすることもできます(最短) 4、白さの調整が可能 5、セラミックに比べて安価 6、繰り返し施術が可能 7、歯を白くするとイメージが変わる 8、虫歯予防になります |
|---|---|
| 治療のデメリット | ホワイトニングのデメリットは 1、紙や陶器のような白さにはなりません 2、セラミックなどの人工の物は白くする事ができません 3、定期的なタッチアップが必要です。 4、ホワイトニングのお薬が歯にしみることがあります。 5、個人差があります。 6、全身状態によってはホワイトニング出来ない場合があります。 |
| 費用 | ¥16,500〜¥38,500 |
| 通院回数 | 1回〜3回 |
| 備考 | 院長より 歯が白くなると、お口全体も明るく見えるようになります。どのぐらい白くなるかも含めて、まずはお悩みをご相談下さい。 |
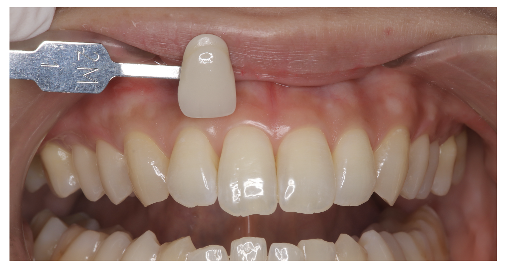
ホワイトニング
ホワイトニング 3 No.96

Before

After
| 治療方法 | ホワイトニング ホワイトニングは、加齢や遺伝、食生活などによって変色した歯を 薬剤を用いて、着色を分解して除去する方法です。 ホワイトニングのメリットは 1、歯の明るさを上げて白くできる 2、歯を痛めません 3、1回で白くすることもできます(最短) 4、白さの調整が可能 5、セラミックに比べて安価 6、繰り返し施術が可能 7、歯を白くするとイメージが変わる 8、虫歯予防になります |
|---|---|
| 治療のデメリット | ホワイトニングのデメリットは 1、紙や陶器のような白さにはなりません 2、セラミックなどの人工の物は白くする事ができません 3、定期的なタッチアップが必要です。 4、ホワイトニングのお薬が歯にしみることがあります。 5、個人差があります。 6、全身状態によってはホワイトニング出来ない場合があります。 |
| 費用 | ¥16,500〜¥38,500 |
| 通院回数 | 1回〜3回 |
| 備考 | 院長より 歯が白くなると、お口全体も明るく見えるようになります。どのぐらい白くなるかも含めて、まずはお悩みをご相談下さい。 |
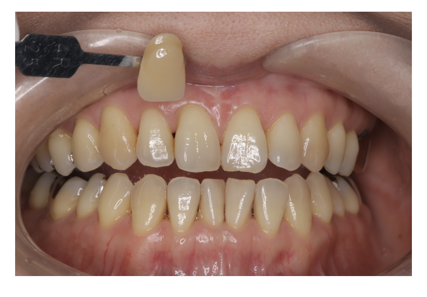
ホワイトニング
ホワイトニング 2 No.84

Before

After
| 治療方法 | ホワイトニング ホワイトニングは、加齢や遺伝、食生活などによって変色した歯を薬剤を用いて、着色を分解して除去する方法です。 ホワイトニングのメリットは 1、歯の明るさを上げて白くできる 2、歯を痛めません 3、1回で白くすることもできます(最短) 4、白さの調整が可能 5、セラミックに比べて安価 6、繰り返し施術が可能 7、歯を白くするとイメージが変わる 8、虫歯予防になります |
|---|---|
| 治療のデメリット | ホワイトニングのデメリットは 1、紙や陶器のような白さにはなりません 2、セラミックなどの人工の物は白くする事ができません 3、定期的なタッチアップが必要です。 4、ホワイトニングのお薬が歯にしみることがあります。 5、個人差があります。 6、全身状態によってはホワイトニング出来ない場合があります。 |
| 費用 | ¥16,500〜¥38,500 |
| 通院回数 | 1回〜3回 |
| 備考 | 院長より 歯が白くなると、お口全体も明るく見えるようになります。どのぐらい白くなるかも含めて、まずはお悩みをご相談下さい。 |
