フルジルコニア
クラウンフルジルコニア
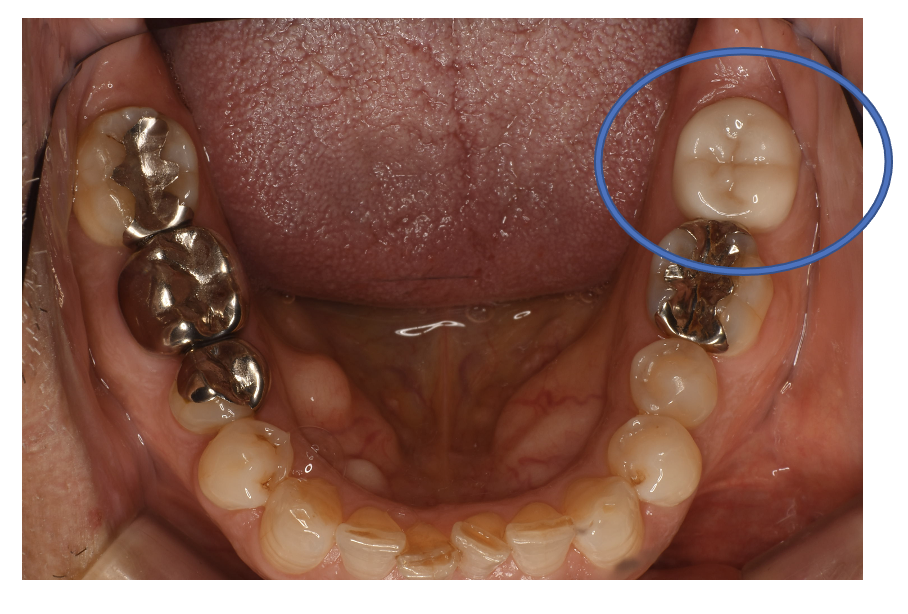
フルジルコニアCr 26 No.69

Before

After
| 治療方法 | フルジルコニアCr 虫歯などで失った歯質を天然歯と同じ色・質感のセラミックの一種であるジルコニア(人工ダイヤモンド)で補う治療法。 |
|---|---|
| 治療のデメリット | 変色がなく耐久性の高い治療ですが、歯周病や二次虫歯を予防するためには歯科医院での定期的なメインテナンスが大切です。 |
| 費用 | ¥89,000×5本=¥445,000 |
| 通院回数 | 1ヶ月〜6ヶ月 |
| 備考 | 院長より 銀の詰め物、プラスチックの詰め物の内部に虫歯が進行してしまっていたケースです。中を開けて見てみると、外から想像するよりもはるかに虫歯が広がってしまっていました。幸運にも神経を保存できたので、生きた臓器としてまだ使うことが可能です。残存歯質がかなり薄く弱くなってしまったので、ジルコニアで5本を被せて守ってあげています。 |
クラウンフルジルコニア
フルジルコニアCr 23 No.63

Before

After
| 治療方法 | フルジルコニアCr 虫歯などで失った歯質を天然歯と同じ色・質感のセラミックの一種であるジルコニア(人工ダイヤモンド)で補う治療法。 |
|---|---|
| 治療のデメリット | 変色がなく耐久性の高い治療ですが、歯周病や二次虫歯を予防するためには歯科医院での定期的なメインテナンスが大切です。 |
| 費用 | ¥89,000×2本=¥178,000 |
| 通院回数 | 1ヶ月〜6ヶ月 |
| 備考 | 院長より 銀歯の内部に虫歯が進行してしまっていたケースです。痛みが出てしまい、中を開けて見てみると、外から想像するよりもはるかに虫歯が 広がってしまっていました。残念ながら、神経まで達してしまっていて、根の治療が必要となりました。しっかりと根の治療を行った後は、ジルコニアを被せてしっかりと守って大事にメンテンスで管理しています。 |
クラウンフルジルコニア
フルジルコニアCr 21 No.48

Before

After
| 治療方法 | フルジルコニアCr 虫歯などで失った歯質を天然歯と同じ色・質感のセラミックの一種であるジルコニア(人工ダイヤモンド)で補う治療法。 |
|---|---|
| 治療のデメリット | 変色がなく耐久性の高い治療ですが、歯周病や二次虫歯を予防するためには歯科医院での定期的なメインテナンスが大切です。 |
| 費用 | ¥89,000×2本=¥178,000 |
| 通院回数 | 1ヶ月〜6ヶ月 |
| 備考 | 院長より 銀歯の内部に虫歯が進行してしまっていたケースです。中を開けて見てみると、外から想像するよりもはるかに虫歯が広がってしまっていました。幸運にも神経を保存できたので、生きた臓器としてまだ使うことが可能です。残存歯質がかなり薄く弱くなってしまったので、ジルコニアで被せて守ってあげています。しっかりとした治療ができたので、まだまだ長く使っていけるでしょう。 |
クラウンフルジルコニア
フルジルコニアCr 31 No.78

Before

After
| 治療方法 | フルジルコニアCr 虫歯などで失った歯質を天然歯と同じ色・質感のセラミックの一種であるジルコニア(人工ダイヤモンド)で補う治療法。 |
|---|---|
| 治療のデメリット | 変色がなく耐久性の高い治療ですが、歯周病や二次虫歯を予防するためには歯科医院での定期的なメインテナンスが大切です。 |
| 費用 | ¥89,000 |
| 通院回数 | 1ヶ月〜6ヶ月 |
| 備考 | 院長より 銀歯の内部に虫歯が進行してしまっていたケースです。中を開けて見てみると、外から想像するよりもはるかに虫歯が広がってしまっていました。幸運にも神経を保存できたので、生きた臓器としてまだ使うことが可能です。残存歯質がかなり薄く弱くなってしまったので、ジルコニアで被せて守ってあげています。しっかりとした治療ができたので、まだまだ長く使っていけるでしょう。 |
クラウンフルジルコニア
フルジルコニアCr 14 No.38

Before

After
| 治療方法 | フルジルコニアCr 虫歯などで失った歯質を天然歯と同じ色・質感のセラミックの一種であるジルコニア(人工ダイヤモンド)で補う治療法。 |
|---|---|
| 治療のデメリット | 変色がなく耐久性の高い治療ですが、歯周病や二次虫歯を予防するためには歯科医院での定期的なメインテナンスが大切です。 |
| 費用 | ¥99,000+¥89,000=¥188,000 |
| 通院回数 | 1ヶ月〜3ヶ月 |
| 備考 | 院長より 前歯と奥歯の、プラスチックでと、銀歯で修復された部位に再発むし歯ができてしまったケースです。2本とも内部で虫歯が広がっていたのですが、なんとか神経を保存することができましたが、残存歯質が薄くなったので、ジルコニアCrで被せて守ってあげています。 |
