ダイレクトボンディング
ダイレクトボンディング詰め物
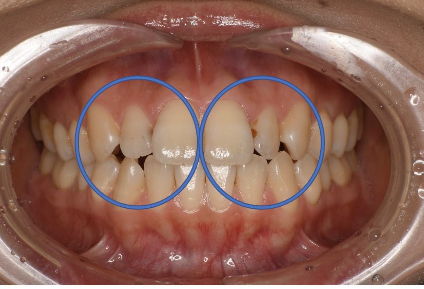
ダイレクトボンディング 1 No.32

Before

After
| 治療方法 | ダイレクトボンディング ダイレクトボンディング治療は、セラミックによる被せ物(Cr)や詰め物(In)に比べて、歯を削る量を抑えることができます。天然歯は、明るく透明感のあるエナメル質、色が濃く透明性の低い象牙質、神経や血管がある不透明な赤色の歯髄の3種類の構造が重なり合って作られています。従来の歯科用プラスチック(コンポジットレジン)では、このような歯の複雑な質感を再現することが困難でした。近年、透明感や色調が豊富に揃った審美修復用プラスチックが開発され、多数の色調を積層築盛することで、天然歯のような自然な歯を再現できるようになりました。ハイブリッドレジンペーストで歯の形を作り、光で固めて強度を出し、磨いて艶を出し、自然な歯の形態を回復する方法です。 |
|---|---|
| 治療のデメリット | 極端に強い力や衝撃が加わると欠けたり取れたりすることがあります。経年的に変色や劣化してくる可能性があります。 |
| 費用 | ¥45,000×2箇所=¥90,000 |
| 通院回数 | 1日 |
| 備考 | 院長より 前歯の虫歯に保険のプラスチックを詰める治療を以前に施されていました。しかし、残念ながら、二次的な虫歯になり、着色もしてしまい 見た目をとても気にされていました。天然歯のような自然観を回復することが出来、喜ばれています。 |
