クラウン
クラウンジルコニアセラミック
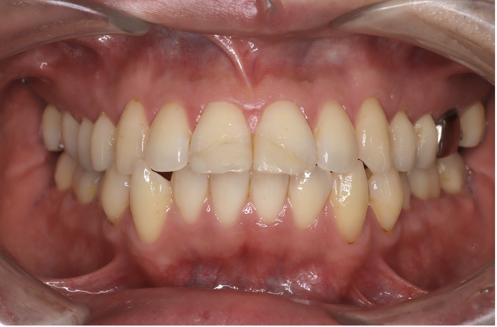
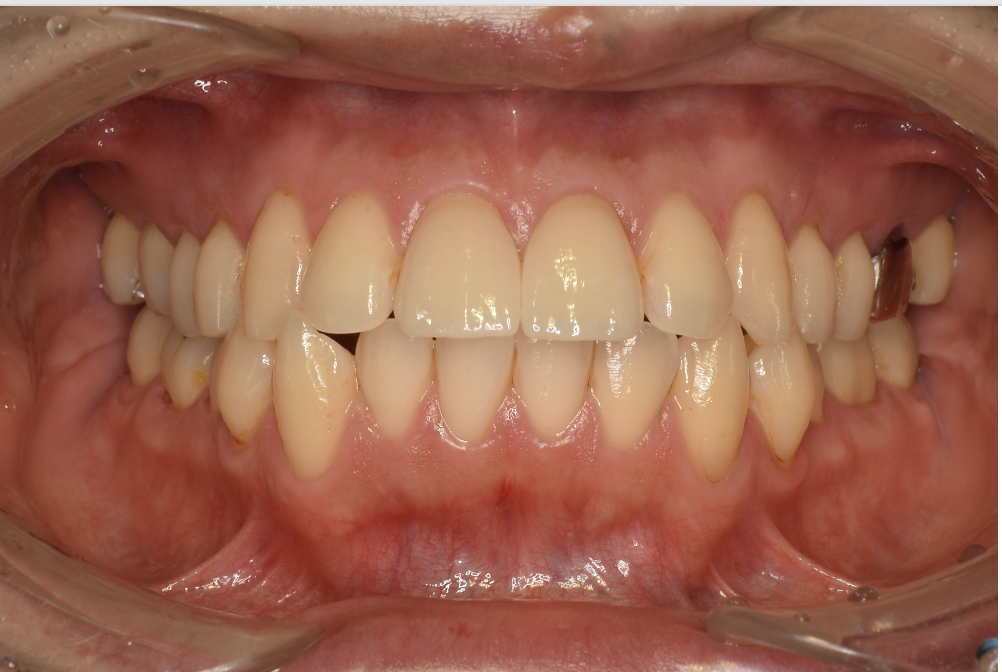
ジルコニアセラミッククラウン 2 +歯冠長延長術 N0.11

Before

After
| 治療方法 | 歯冠長延長術、ジルコニアセラミック 歯冠長延長術(クラウンレングスニング)は、外科処置により歯ぐきの位置を下げることで、歯のふちを歯ぐきより上に出していく処置のことです。このケースでは、ガムライン(歯ぐきの高さ)を修正して歯の長さを揃えたり、形を修正することにより審美性を確保します。 ジルコニアセラミックは、虫歯などで失った歯質を天然歯と同じ色・質感のセラミックで補う治療法です。人工ダイヤモンドとしても使われるジルコニアのフレームの上に作成することで、強度も兼ね備えています。 |
|---|---|
| 治療のデメリット | 歯冠長延長術を行うと、歯茎が下がるので、知覚過敏が起きる可能性があります。ケースによっては審美性の問題が出る可能性があります。 歯ぐきの高さを調整した後は、数ヶ月間かけて徐々に歯ぐきの位置が落ち着いてきます。その為に、治療期間が長くなります。 ジルコニアセラミックは、変色がなく耐久性の高い治療ですが、歯周病や二次虫歯を予防する為には歯科医院での定期的なメインテナンスが大切です。 |
| 費用 | ¥45,000〜¥88,000×2本、¥145,000×2本 |
| 通院回数 | 6ヶ月〜12ヶ月 |
| 備考 | 院長より 保険の被せ物で治した前歯2本にジルコニアセラミックを被せました。歯と歯茎とのバランスも悪かったので、外科的に骨と歯茎を整えバランスを調整しました。歯と歯茎のバランス、歯の色も周囲と調和が取れて自然でキレイですね。 |
クラウンジルコニアセラミック
ジルコニアセラミッククラウン 1 No. 2

Before

After
| 治療方法 | ジルコニアセラミック 虫歯などで失った歯質を天然歯と同じ色・質感のセラミックで補う治療法人工ダイヤモンドとしても使われるジルコニアのフレームの上に作成することで、強度も兼ね備えている。 |
|---|---|
| 治療のデメリット | 変色がなく耐久性の高い治療ですが、歯周病や二次虫歯を予防する為には歯科医院での定期的なメインテナンスが大切です |
| 費用 | ¥145,000 |
| 通院回数 | 1ヶ月〜3ヶ月 |
| 備考 | 院長より 前歯の保険の被せものをジルコニアセラミックにしました。 年数が経ち被せ物が変色し、歯と歯肉の境目も合いが悪くなり、歯茎も腫れてきていました。 前歯がとても綺麗になり、口元の印象がガラリと変わったので、患者さんは大変喜こばれていました。 |
クラウンゴールドクラウン
ゴールドクラウン 1 No.55

Before

After
| 治療方法 | ゴールドクラウン 金合金やプラチナ合金等の貴金属を利用したクラウンです。審美的な観点から最近はあまり使用されなくなってきましたが、長年使用されている素晴らしい材料です。適合性が良く、錆びることもほとんどありません。つまり歯や歯ぐきが変色してしまうことがないのです。ゴールドクラウンの中でもプラチナを混合した白金合金の物は、歯科材料として最も優れていると言われています。 |
|---|---|
| 治療のデメリット | 強度があり、丈夫で長持ちすると言われていますが、金色で目立つ為、見た目が劣るという点がデメリットとして挙げられています。またごく稀に、体質によっては金属アレルギーの原因になってしまう事もあると言われているのが注意点です。金やプラチナの相場によって、治療費の変動が起こりやすいので、使用する金属により思ったより治療費がかかってしまうことがあります。保険診療より、高額になります。 |
| 費用 | ¥100,000〜(時価) |
| 通院回数 | 1ヶ月〜6ヶ月 |
| 備考 | 院長より 銀歯の内部に虫歯が進行してしまっていたケースです。脱離したので、見てみると、虫歯が広がってしまっていました。幸運にも神経を保存できたので、生きた臓器としてまだ使うことが可能です。残存歯質がかなり薄く弱くなってしまったので、金で被せて守ってあげています。 しっかりとした治療ができたので、まだまだ長く使っていけるでしょう。 |
クラウンジルコニアセラミック
ジルコニアセラミッククラウン 4 No.57

Before

After
| 治療方法 | ジルコニアセラミック 虫歯などで失った歯質を天然歯と同じ色・質感のセラミックで補う治療法。人工ダイヤモンドとしても使われるジルコニアのフレームの上に 作成することで、強度も兼ね備えている。 |
|---|---|
| 治療のデメリット | 変色がなく耐久性の高い治療ですが、歯周病や二次虫歯を予防する為には、歯科医院での定期的なメインテナンスが大切です。 |
| 費用 | ¥145,000×2本=¥290,000 |
| 通院回数 | 1ヶ月〜3ヶ月 |
| 備考 | 院長より 転倒して、前歯2本を折ってしまいました。プラスチックで仮に詰めて様子を見ていましたが、幸いにも歯の神経を保存できたので、ジルコニアセラミックで全体的に被せて守ってあげる治療を選択されました。とても自然な仕上がりで、喜ばれています。 |
クラウンジルコニアセラミック
ジルコニアセラミッククラウン 3 No.46

Before

After
| 治療方法 | ジルコニアセラミック 虫歯などで失った歯質を天然歯と同じ色・質感のセラミックで補う治療法人工ダイヤモンドとしても使われるジルコニアのフレームの上に 作成することで、強度も兼ね備えている。 |
|---|---|
| 治療のデメリット | 変色がなく耐久性の高い治療ですが、歯周病や二次虫歯を 予防する為には歯科医院での定期的なメインテナンスが大切です |
| 費用 | ¥145,000×2本=¥290,000 |
| 通院回数 | 1ヶ月〜3ヶ月 |
| 備考 | 院長より 前歯に大きい虫歯への処置痕を認めます。神経まで達する深い虫歯だったようで、根の治療がされており、歯自体が変色してしまっています。大きく詰めているのと、歯の色が変色していることから、ジルコニアセラミックで被せて、対応したケースです。自然な見た目になり、とても喜ばれています。 |
