ブリッジ
ブリッジフルジルコニア
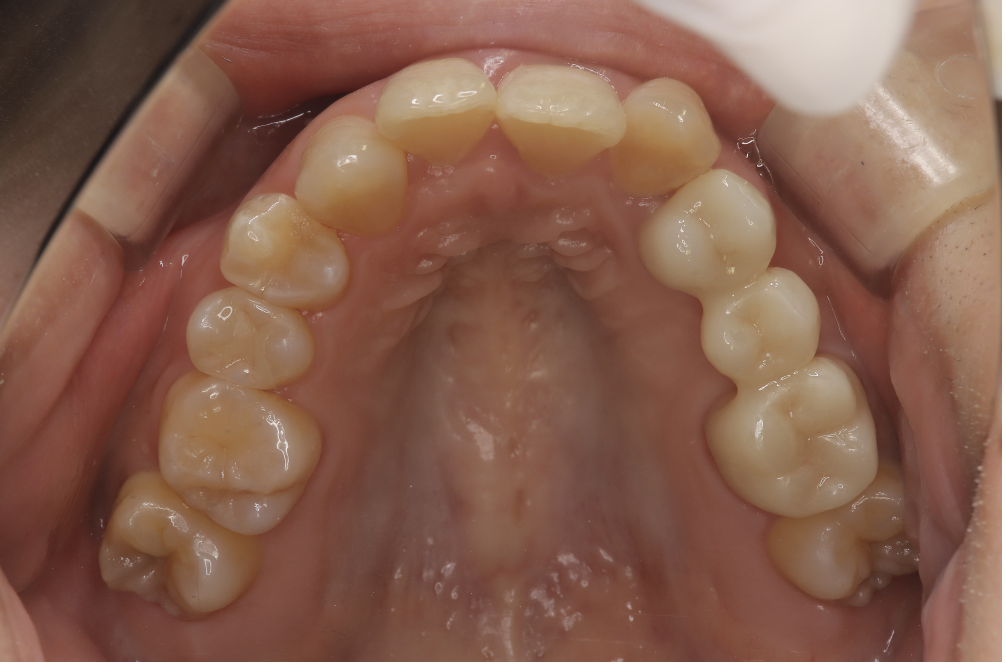
フルジルコニアブリッジ 2 No.62

Before

After
| 治療方法 | フルジルコニアブリッジ 歯を失ってしまった部位に、歯を入れたいがインプラントには抵抗がある、取り外しの入れ歯にも抵抗があるが、見た目がキレイで長持ちする方法が良いというようなご要望な方にはジルコニアブリッジという選択肢があります。歯を失ってしまった部位の前後の歯を削り、ブリッジにて治す方法ですが、強度が必要となります。素材に、金属ではなく、人工ダイヤモンドとしても使用されるジルコニアを使用します。 |
|---|---|
| 治療のデメリット | 歯が欠損している部位を補う治療法として、インプラント治療がありますが、失った骨、歯茎を補うことが必要になり、そして、 外科手術が必要となります。外科手術を避けたいという方が選択されることが多いですが、欠損の両側の歯を便宜的に削らなくてはならない。そして、欠損の両側の歯の軸により、便宜的に神経を取らなくてはいけないこともあります。何に重きを置くかにより、インプラント、ブリッジ、入れ歯のどの治療法を選択するかが変わってきます。噛み合わせが強い場合、ごく稀に、かけたり壊れる可能性があります。 |
| 費用 | ¥267,000 |
| 通院回数 | 1ヶ月〜6ヶ月 |
| 備考 | 院長より 銀歯のブリッジが適合が悪かったので、やり直しを希望されました。ジルコニアは汚れがつきにくく、落としやすい素材なので、歯周病や分岐部病変がある歯の歯周病のコントロールにも有効な治療法になります。 |
ブリッジフルジルコニア
フルジルコニアブリッジ 1 + E-max In No.8

Before

After
| 治療方法 | ジルコニアブリッジ、セラミックインレー ・歯を失ってしまった部位に、歯を入れたいがインプラントには抵抗がある、取り外しの入れ歯にも抵抗があるが、見た目がキレイで長持ちする方法が良いというようなご要望な方にはジルコニアブリッジという選択肢があります。歯を失ってしまった部位の前後の歯を削り、ブリッジにて治す方法ですが、強度が必要となります。素材に、金属ではなく、人工ダイヤモンドとしても使用されるジルコニアを使用します。 ・虫歯などで失った歯質を天然歯と同じ色、質感のセラミックで補う治療法です。 |
|---|---|
| 治療のデメリット | 歯が欠損している部位を補う治療法として、インプラント治療がありますが、失った骨、歯茎を補うことが必要になり、そして、外科手術が必要となります。外科手術を避けたいという方が選択されることが多いですが、欠損の両側の歯を便宜的に削らなくてはならない。そして、欠損の両側の歯の軸により、便宜的に神経を取らなくてはいけないこともあります。何に重きを置くかにより、インプラント、ブリッジ、入れ歯のどの治療法を選択するかが変わってきます。噛み合わせが強い場合、ごく稀に、かけたり壊れる可能性があります。 |
| 費用 | ¥283,500〜426,500、¥69,000 |
| 通院回数 | 1ヶ月〜6ヶ月 |
| 備考 | 院長より 他院で部分的な詰め物で対応した保険のブリッジの片側が外れてしまっていました。外れた場所から虫歯が進行してしまっていたケースで、患者さんは気がついていませんでした。 右側の虫歯は、セラミックインレーで、外れていた左側のブリッジの部分はフルジルコニアブリッジにて修復しました |
