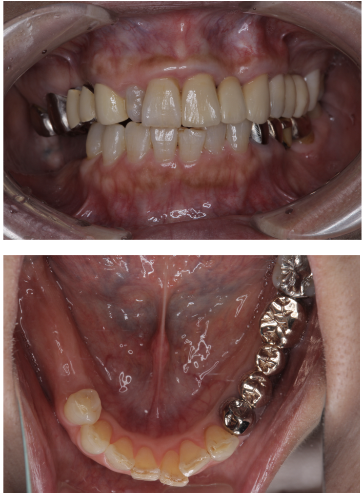
インプラント
インプラント
インプラント 7 No.23

Before

After
| 治療方法 | インプラント 歯を失った顎の骨に、体に馴染みやすい材料で作られた人工歯根を埋め込みます。それを土台にセラミックなどで作った人工歯を取り付ける治療法です。 |
|---|---|
| 治療のデメリット | ・神経や血管を傷つけるかぬせいがあるので、当院ではCT撮影を行って診断を行い、さらにコンピューターシュミレーションを行い神経や血管の立体的な位置を把握してインプランとを安全な位置に埋入します。 ・上顎は上顎洞という空洞があり、そこを削ってしまうと炎症が起きてしまうため、CT撮影でしっかり診断をしてから手術を行います。 |
| 費用 | ¥460,000〜570,000 |
| 通院回数 | 2ヶ月〜8ヶ月 |
| 備考 | 院長より 残念ながら保存できなかった銀歯を抜歯して、インプラントを埋入しました。インプラント(人工歯根)と被せ(フルジルコニアCr)はネジで連結してあり必要に応じて外してチェックできるようになっています。写真ではメンテナンス時でネジ穴が見える状態になっています。 通常はネジ穴はプラスティックで蓋をして見えない状態になっています。 |
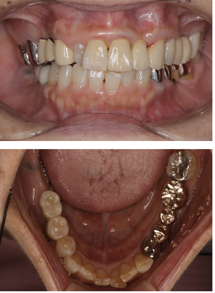
インプラント
インプラント 6 No.19

Before

After
| 治療方法 | インプラント 歯を失った顎の骨に、体に馴染み易いチタン材料で作られた人工歯根を埋め込みます。それを土台にセラミックで作った人工歯を取り付ける治療法です。 |
|---|---|
| 治療のデメリット | ・神経や血管を傷つける可能性があるので、当院ではCT撮影を行って診断をし、さらにコンピューターシュミレーションを行い神経や血管の立体的な位置を把握してインプラントを安全な位置に埋入します。 ・上顎は上顎洞という空洞があり、そこを削ってしますと炎症が起きてしまうため、CT撮影でしっかり診断をしてから、さらにコンピューターシュミレーションを行い、手術を行います。 |
| 費用 | ¥460,000円×2本=¥920,000、¥89,000 |
| 通院回数 | 3ヶ月〜9ヶ月 |
| 備考 | 院長より 残すことが難しい状況になった歯を3本抜いて、インプラントを2本埋入しました。2本で強固に支えているので、一番手前はカンチレバーで対応してるケースです。骨もしっかりとあり良い状況です。まだまだこれから長い間使って頂けると思います。 |
インプラント
インプラント 5 NO.17

Before

After
| 治療方法 | インプラント 歯を失った顎の骨に、体に馴染みやすい材料で作られた人工歯根を埋め込みます。それを土台にセラミックなどで作った人工歯を取り付ける治療法です。 |
|---|---|
| 治療のデメリット | ・神経や血管を傷つけるかぬせいがあるので、当院ではCT撮影を行って診断を行い、さらにコンピューターシュミレーションを行い神経や血管の立体的な位置を把握してインプラントを安全な位置に埋入します。 ・上顎は上顎洞という空洞があり、そこを削ってしまうと炎症が起きてしまう ため、CT撮影でしっかり診断をしてから手術を行います。 |
| 費用 | ¥460,000〜570,000 |
| 通院回数 | 2ヶ月〜8ヶ月 |
| 備考 | 院長より インプラントは自分の歯のように噛むことが出来ます。 奥歯が一本なくなっただけで噛みにくくなる方もいらっしゃいます。 |
インプラント
インプラント 4 NO.6

Before

After
| 治療方法 | インプラント 歯を失った顎の骨に、体に馴染み易いチタン材料で作られた人工歯根を埋め込みます。それを土台にセラミックで作った人工歯を取り付ける治療法です。 |
|---|---|
| 治療のデメリット | ・神経や血管を傷つける可能性があるので、当院ではCT撮影を行って診断をし、さらにコンピューターシュミレーションを行い神経や血管の立体的な位置を把握してインプラントを安全な位置に埋入します。 ・上顎は上顎洞という空洞があり、そこを削ってしますと炎症が起きてしまうため、CT撮影でしっかり診断をしてから、さらにコンピューターシュミレーションを行い、手術を行います。 |
| 費用 | 460,000円×2本=920,000円 |
| 通院回数 | 3ヶ月〜9ヶ月 |
| 備考 | 院長より 以前歯を抜いた所や、残すことが難しい状況になっている歯を抜いて、インプラントを2本埋入しました。 奥歯があると、食べ物をしっかりと噛むことが出来ます。 失った歯の機能を補うには、世界においては、インプラント治療が、第一選択になっています。 |
インプラント
インプラント 2 No.4

Before

After
| 治療方法 | GBR(骨移植)+インプラント 歯を失って、顎の骨が痩せてしまった部位に骨の移植を行います。骨が十分にできた顎の骨に体に馴染み易い材料で作られた人工歯根を埋め込みます。それを土台にセラミックなどで作った人工歯を取り付ける治療法です。 |
|---|---|
| 治療のデメリット | ・骨の移植は、体に異物を持ち込む治療なので、感染を起こしてしまったり、生着しないことがあるので、当院では術前、術後の口腔内の管理をしっかりと行い成功率をあげる努力を徹底します ・神経や血管を傷つける可能性があるので、当院ではCT撮影を行って診断をし、さらにコンピューターシュミレーションを行い、神経や血管の立体的な位置を把握してインプラントを安全な位置に埋入します。 |
| 費用 | 骨の移植 ¥110,000 インプラント ¥460,000 |
| 通院回数 | 6ヶ月〜12ヶ月 |
| 備考 | 院長より 残すことが難しい状況になった歯を抜いて、インプラントを2本埋入しました。 骨の移植をしたことにより、骨もしっかりとあり良い状態なので、まだまだこれから何年先まで使って頂けると思います。 |
