E-max In詰め物
E-max In 12 No.77

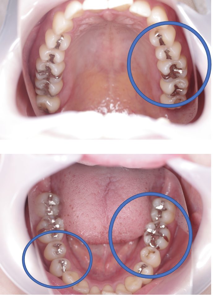
Before

After
| 治療方法 | セラミックインレー(E-MAX In) 虫歯などで失った歯質を天然歯と同じ色・質感のセラミックで補う治療法です。金属を使用する治療と比べて、審美性だけではなく、耐久性や体の負担が少ないという面でも優れていると注目されています。従来のセラミックと比べて天然歯と同程度の強度であり、耐久性が高くなっています。どのくらいもつかは使用状況や部位、メンテナンスの有無などによって大きく変わってきます。透明感があり、キレイで自然な色調を表現できます。歯と分子レベルの化学結合によって吸着するため隙間ができることが少なく、虫歯にもなりにくいと言われています。 そして、金属アレルギーのリスクがありません。 |
|---|---|
| 治療のデメリット | 変色がなく、耐久性が高い治療ですが、歯周病や二次虫歯を予防する為には歯科医院でのお口のクリーニングが大切です。強度が強いといっても、セラミックですから割れる可能性はあります。自由診療の選択肢なので、保険治療と比較して高額になります。 |
| 費用 | ¥69,000×6=¥414,000 |
| 通院回数 | 1.5ヶ月〜3ヶ月 |
| 備考 | 院長より 銀歯の内部に虫歯が進行してしまっていたケースです。中を開けて見てみると、外から想像するよりもはるかに虫歯が広がってしまっていました。幸運にも神経を保存できたので、生きた臓器としてまだ使うことが可能です。今回は部分的な詰め物で対応することができたケースです。 |
