ラミネートベニア
ラミネートベニア 1 No.20

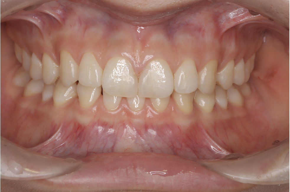
Before

After
| 治療方法 | ラミネートベニア 治療する歯の表面を薄く削り、つけ爪のような、セラミックなどでできたごく薄い板のような素材を隙間なく貼り付けることによって、 前歯の見た目や軽度の歯並びを改善する治療方法です。すきっ歯の改善や、歯の形を整える、歯の色を白くキレイにすることが可能です。 このケースでは、歯自体には全く問題がないので、見た目にほんの少し色の違いが現れてしまいますが、歯の表面を一切削らずに対応しています。 |
|---|---|
| 治療のデメリット | 噛み合わせが強い場合には、外れる、割れることが稀にあります。保険適用外となり、保険診療よりは高額になります。 |
| 費用 | ¥110,000×2本=¥220,000 |
| 通院回数 | 2週間から2ヶ月 |
| 備考 | 院長より 前歯の隙間を気にされたケースです。まだ10代の若い患者さんなので、一切歯を削らずに強力な接着剤で接着するだけで対応したケースです。このケースでは噛み合わせが深いので、外れる可能性があるので、注意深くメンテンスしていくことが大事になります。ずっと気になっていた前歯の隙間がなくなり、笑顔が多くなり、とても喜ばれています。 |
