クラウンフルジルコニア
フルジルコニアCr 2 NO.16

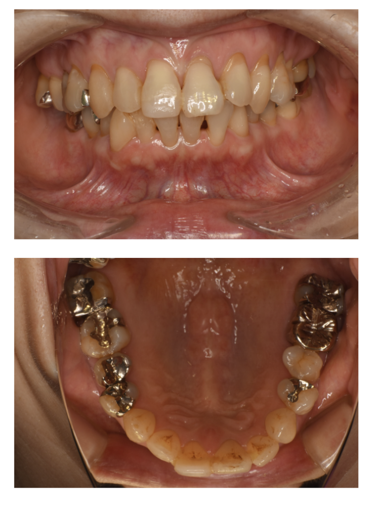
Before

After
| 治療方法 | フルジルコニア 虫歯などで失った歯質を天然歯と同じ色・質感のセラミックの一種であるジルコニア(人工ダイヤモンド)で補う治療法。 |
|---|---|
| 治療のデメリット | 変色がなく耐久性の高い治療ですが、歯周病や二次虫歯を予防するためには歯科医院での定期的なメインテナンスが大切です。 |
| 費用 | ¥89,000×2本=¥178,000 |
| 通院回数 | 1ヶ月〜3ヶ月 |
| 備考 | 院長より 転倒して、前歯2本を折ってしまいました。切断面がキレイだったので、接着剤でつけても目立たなかったのですが、補強して、被せてかかえ込んで歯を守ってあげることを希望されました。 |
