ジルコニアセラミック
ジルコニアセラミック 5 No.95

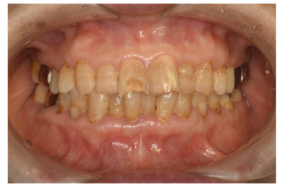
Before

After
| 治療方法 | ジルコニアセラミック 虫歯などで失った歯質を天然歯と同じ色・質感のセラミックで補う治療法。人工ダイヤモンドとしても使われるジルコニアのフレームの上に 作成することで、強度も兼ね備えている。 |
|---|---|
| 治療のデメリット | 変色がなく耐久性の高い治療ですが、歯周病や二次虫歯を予防する為には歯科医院での定期的なメインテナンスが大切です。 |
| 費用 | ¥145,000×2本=¥290,000 |
| 通院回数 | 1ヶ月〜3ヶ月 |
| 備考 | 院長より 前歯が欠けてしまいました。幸いにも歯の神経を保存できたので、ジルコニアセラミックで全体的に被せて守ってあげる治療を選択されました。とても自然な仕上がりで、喜ばれています。 |
