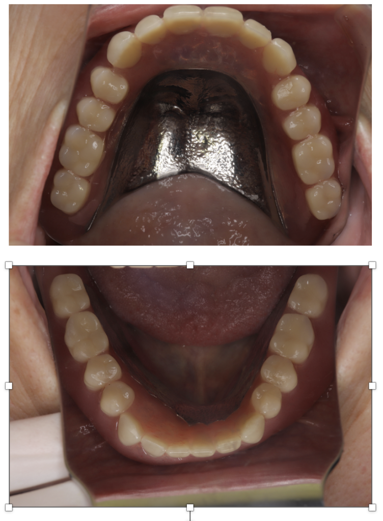
全部床義歯+マグネット
全部金属床 + マグネット 2 No.86

Before

After
| 治療方法 | 金属床、マグネット プラスチック製の入れ歯と比べて、金属製の入れ歯は厚さが薄く違和感が少ない、温度を良く伝えるので美味しさが増す、たわみにくいのでしっかりと噛める、そして残っている自分の歯に優しい等の違いがあります。歯の根っこと、入れ歯に磁石を埋め込むことにより、入れ歯がずれたり、外れたりしにくくなります。そして、側方から大きな力がかかった場合は、外れて力を逃してくれるので、歯の根っこにかかる負担を軽減してくれます |
|---|---|
| 治療のデメリット | 金属床は、プラスチックの入れ歯に比べたら、違和感が少ない、温度をよく伝える、しっかりと噛める、残っている自分の歯に優しい等の違いがありますが、やはり入れ歯の限界があり、インプラント、自分の歯と比較すると、気になる場合もあります。マグネットは、残っている歯の根っこの状態により適用できないケースもあります。マグネットを、基本的にMRI撮影で外す必要がないと考えられていますが、 撮影時に指摘を受ける可能性があります。 |
| 費用 | ¥395,000〜990,000×2(上、下)=¥790,000〜1,980,000 、¥45,000×2本=¥90,000 |
| 通院回数 | 1.5ヶ月から3ヶ月 |
| 備考 | 院長より 下の入れ歯は、舌のせいで外れたり、噛むとかたつくことがありますが、入れ歯を磁石で付けることで、噛んでも安定した入れ歯になります。そして、金属の入れ歯を使用することにより、違和感が軽減され、快適と喜ばれています。 |
治療詳細

