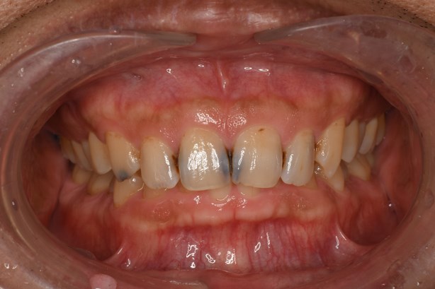
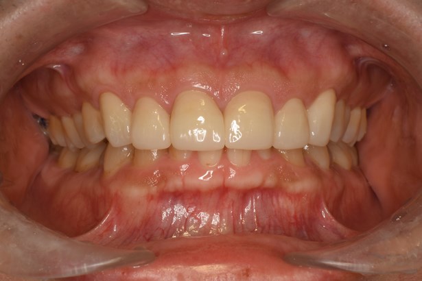
フルジルコニア
フルジルコニアCr 1 No.3

Before

After
| 治療方法 | フルジルコニア 虫歯などで失った歯質を天然歯と同じ色・質感のセラミックの一種であるジルコニア(人工ダイヤモンド)で補う治療法。 |
|---|---|
| 治療のデメリット | 変色がなく耐久性の高い治療ですが、歯周病や二次虫歯を予防するめには歯科医院での定期的なメインテナンスが大切です。 |
| 費用 | 89,000円×6本=534,000円 |
| 通院回数 | 2ヶ月〜6ヶ月 |
| 備考 | 院長より 歯は表側の虫歯だけではなく、裏側で虫歯が大きく進行しているケースもあります。 オールセラミックは変色しにくく、欠けにくい素材です。またご自身の歯の色や形と同じように作るので、天然歯と並んでも、どちらがオールセラミックか分からないぐらいとても自然です。 |
