インプラント
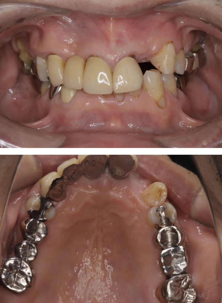
インプラント 10 +フルジルコニアCr No.73

Before

After
| 治療方法 | インプラント、フルジルコニアCr 歯を失った顎の骨に、体に馴染みやすい材料で作られた人工歯根を埋め込みます。それを土台にセラミックなどで作った人工歯を取り付ける治療法です。 |
|---|---|
| 治療のデメリット | ・神経や血管を傷つける可能性があるので、当院ではCT撮影を行って診断を行い、さらにコンピューターシュミレーションを行い神経や血管の立体的な位置を把握してインプランとを安全な位置に埋入します。 ・上顎は上顎洞という空洞があり、そこを削ってしまうと炎症が起きてしまうため、CT撮影でしっかり診断をしてから手術を行います。 |
| 費用 | ¥660,000〜770,000、¥99,000 |
| 通院回数 | 2ヶ月〜8ヶ月 |
| 備考 | 院長より 残すことが難しい状況になった歯を抜いて、インプラントを埋入しました。隣の歯の銀歯の表面に貼り付けていたプラスチックが取れたので、ジルコニアで被せ直しています。パンが食べられるようになったと喜んでいらっしゃいます。 |
