インプラント
インプラント 11 NO.75

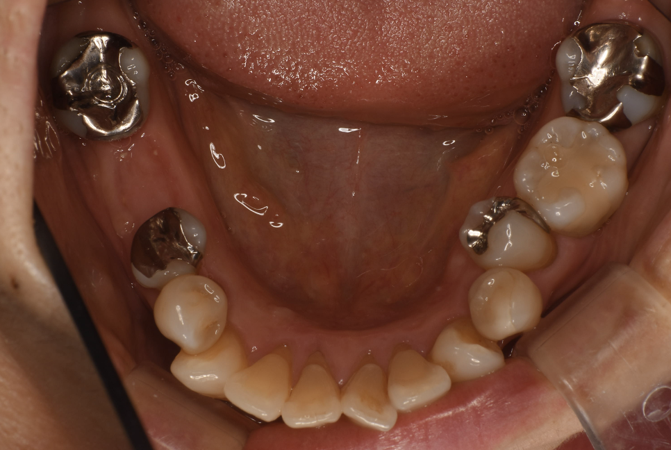
Before

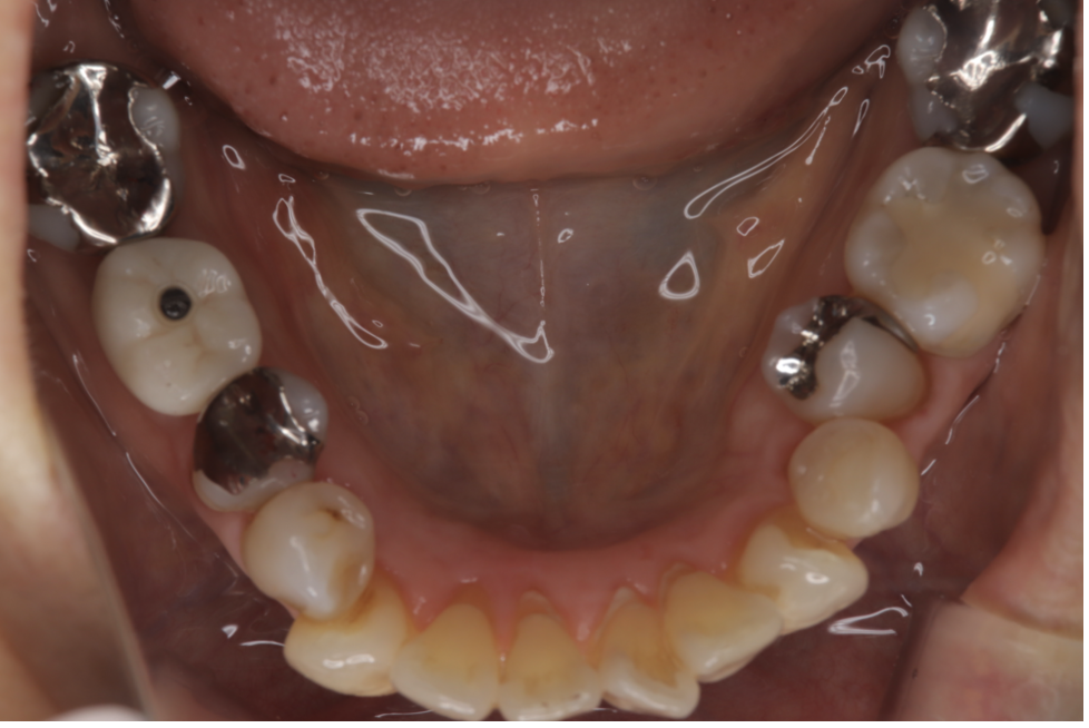
After
| 治療方法 | インプラント 歯を失った顎の骨に、体に馴染みやすい材料で作られた人工歯根を埋め込みます。それを土台にセラミックなどで作った人工歯を取り付ける治療法です。 |
|---|---|
| 治療のデメリット | ・神経や血管を傷つけるかぬせいがあるので、当院ではCT撮影を行って診断を行い、さらにコンピューターシュミレーションを行い神経や血管の立体的な位置を把握してインプランとを安全な位置に埋入します。 ・上顎は上顎洞という空洞があり、そこを削ってしまうと炎症が起きてしまうため、CT撮影でしっかり診断をしてから手術を行います。 |
| 費用 | ¥460,000〜570,000 |
| 通院回数 | 2ヶ月〜8ヶ月 |
| 備考 | 院長より 残念ながら保存できなかった銀歯を抜歯して、インプラントを埋入しました。インプラント(人工歯根)と被せ(フルジルコニアCr)はネジで連結してあり必要に応じて外してチェックできるようになっています。写真ではメンテナンス時でネジ穴が見える状態になっています。 通常はネジ穴はプラスティックで蓋をして見えない状態になっています。 |
