カテゴリー
クラウンジルコニアセラミック
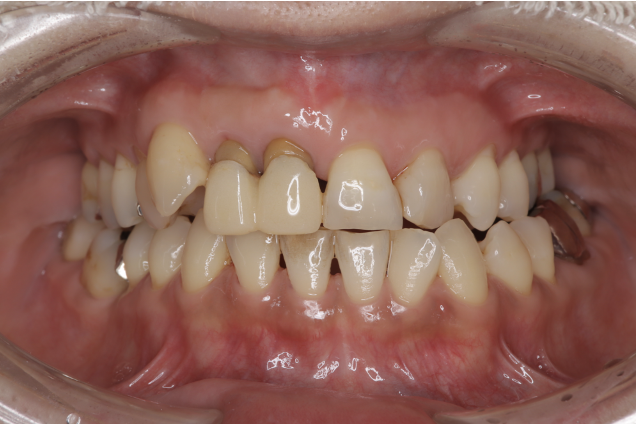
ジルコニアセラミッククラウン 2 +歯冠長延長術 N0.11

Before

After
症例情報
| 治療方法 | 歯冠長延長術、ジルコニアセラミック 歯冠長延長術(クラウンレングスニング)は、外科処置により歯ぐきの位置を下げることで、歯のふちを歯ぐきより上に出していく処置のことです。このケースでは、ガムライン(歯ぐきの高さ)を修正して歯の長さを揃えたり、形を修正することにより審美性を確保します。 ジルコニアセラミックは、虫歯などで失った歯質を天然歯と同じ色・質感のセラミックで補う治療法です。人工ダイヤモンドとしても使われるジルコニアのフレームの上に作成することで、強度も兼ね備えています。 |
|---|---|
| 治療のデメリット | 歯冠長延長術を行うと、歯茎が下がるので、知覚過敏が起きる可能性があります。ケースによっては審美性の問題が出る可能性があります。 歯ぐきの高さを調整した後は、数ヶ月間かけて徐々に歯ぐきの位置が落ち着いてきます。その為に、治療期間が長くなります。 ジルコニアセラミックは、変色がなく耐久性の高い治療ですが、歯周病や二次虫歯を予防する為には歯科医院での定期的なメインテナンスが大切です。 |
| 費用 | ¥45,000〜¥88,000×2本、¥145,000×2本 |
| 通院回数 | 6ヶ月〜12ヶ月 |
| 備考 | 院長より 保険の被せ物で治した前歯2本にジルコニアセラミックを被せました。歯と歯茎とのバランスも悪かったので、外科的に骨と歯茎を整えバランスを調整しました。歯と歯茎のバランス、歯の色も周囲と調和が取れて自然でキレイですね。 |
治療詳細
-

歯冠長延長術後



