ジルコニアセラミックブリッジ
ジルコニアセラミックブリッジ 2 +ジルコニアセラミック No.12

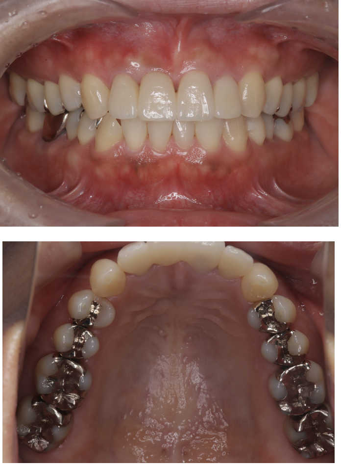
Before

After
| 治療方法 | ジルコニアセラミックブリッジ、ジルコニアセラミック 審美ブリッジ(ジルコニアセラミックブリッジ)は歯が欠損している部分を審美的に補う治療方法です。欠損した部位を他の歯で支えるブリッジという治療法は強度が必要なので、金属かジルコニアといった強靭な材質が使用されます。そのジルコニアの素材のキャップに何層もの セラミックを焼き付けた自然美を追求した治療法です。 ジルコニアセラミックは虫歯などで失った歯質を天然歯と同じ色・質感のセラミックで補う治療法。人工ダイヤモンドとしても使われるジルコニアのフレームの上に作成することで、強度も兼ね備えている。 |
|---|---|
| 治療のデメリット | 歯が欠損している部位を補う治療法として、インプラント治療がありますが、失った骨、歯茎を補うことが必要になり、そして、外科手術が必要となります。外科手術を避けたいという方が選択されることが多いですが、欠損の両側の歯を便宜的に削らなくてはならない。そして、欠損の両側の歯の軸により、便宜的に神経を取らなくてはいけないこともあります。 何に重きを置くかにより、インプラント、ブリッジ、入れ歯のどの治療法を選択するかが変わってきます。噛み合わせが強い場合、ごく稀に、かけたり壊れる可能性があります。 変色がなく耐久性の高い治療ですが、歯周病や二次虫歯を予防する為には、歯科医院での定期的なメインテナンスが大切です。 |
| 費用 | ¥435,000〜545,000、¥145,000 |
| 通院回数 | 1ヶ月〜6ヶ月 |
| 備考 | 院長より 保険の被せの前歯の内部で虫歯が進行して、歯が折れて被せが取れてしまったケースです。虫歯が進行しすぎていて、残せませんでした。 失った歯の両側の歯の審美性の改善も希望されたので、計4本分の歯をブリッジを含んで対応したケースです。両側の歯を削りたくない場合はインプラント治療をお勧め致しますが、お口の状況、ご希望により、治療方法の選択肢は変わってきます。 |
